QTREEMESH: Generating QuadTree Mesh from Images

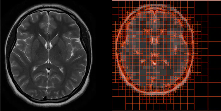
Original image (left) and QuadTree-meshed image (right)

Introduction

QTREEMESH is a Python package that simplifies the generation of Quadtree meshes from images. Quadtree structures, known for their efficiency in spatial data representation, find applications in image processing and finite element analysis. This package provides an intuitive interface for seamlessly generating Quadtree meshes, enabling various image processing and analysis techniques.

Features (v0.1.2)

  • Perform QuadTree decomposition of images
  • Generate QuadTree mesh
  • Export as vtk format
  • Generate FEM-friendly mesh (handling hanging nodes)

License

Distributed under the MIT License. See LICENSE for more information.

Contact

Project Link: https://github.com/Sad-Abd/qtreemesh